Kontaktujte nás: +420723956651 |
info@zubnichirurgie.eu
kostelkova@seznam.cz
x
Hledat
Menu
Úvodní stránka
O nás
Pro pacienty
Pro stomatology
Ordinace
Fotogalerie
Ceník
Kontakt
Ke stažení
GDPR
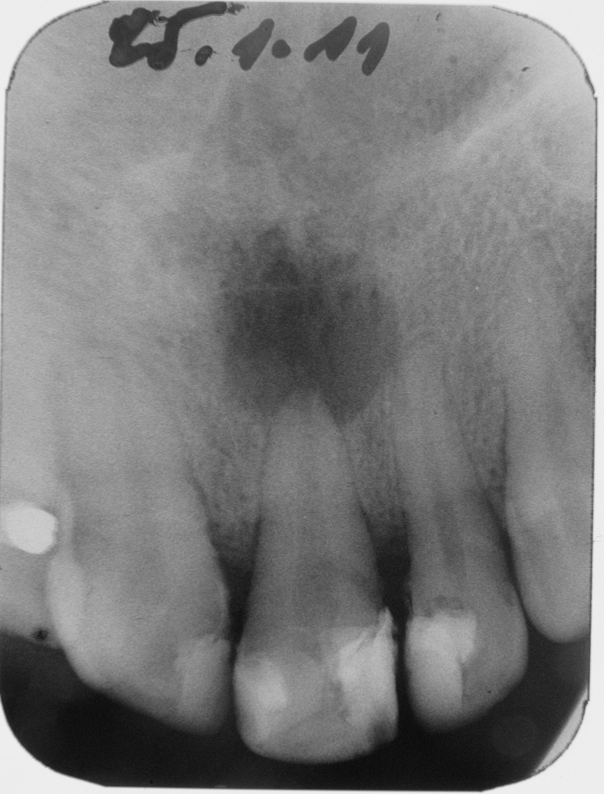
Chirurgické zákroky - cysta
Následující →
nik44716.JPG
Následující →
« zpět
Vlastní box
Kontakt
yvddent
s.r.o.
MUDr. Yvona Kostelková
613 00 Brno, Janouškova 4
+420 723 956 651
info@zubnichirurgie.eu
kostelkova@seznam.cz
Ordinační doba
Pondělí
7:30 - 15.00
Úterý
7:30 – 15.00
Středa
7:30
- 13:00 objednaní na sál
Čtvrtek
7:30
– 15:00
Pátek
7:30
– 14:00
Aktuality
10
Lis
2024
V pondělí 11.11.2024 bude ordinace zavřená
archív
‹
›
×
×